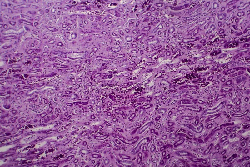
Acute Diffuse Proliferative Nephritis Inflammation
Hyperemia, edema and inflammatory infiltration in interstitial tissue 56. A number of distinct agents can cause apgn but the pathogenesis of all appears to involve generation of circulating immune complexes.

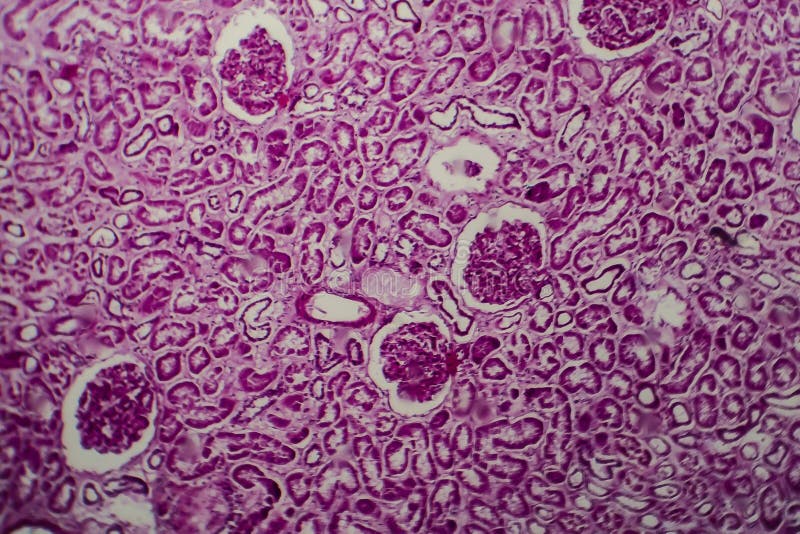
Acute glomerulonephritis in lupus is seen in patients who have focal and diffuse proliferative glomerulonephritis—that is world health organisation (who) class iii and iv lupus nephritis 27 (who class i. Physiologic and morphometric techniques were used serially before, and 1.
Acute Diffuse Proliferative Nephritis Inflammation. Diffuser is an instrument that is commonly owned by those who are into aromatherapy. There are various types and uses of diffusers available in accordance with the preferences of the users. Make sure you are right in selecting a diffuser so that the benefits of aromatherapy can be experienced to the fullest extent.
A diffuser is a tool that converts essential oils into fragrant vapors and then distribute them throughout the air so that they are easier to breathe. The use of a diffuser inside a room is able to create a comfortable and calming atmosphere. This is why the use of a diffuser is very appropriate to soothe the mind and ease anxiety.
Although the use of a diffuser is beneficial, it is not proven suitable for make use of it for making antiseptic liquids vaporize to sterilize the air. This could lead to adverse negative effects, like irritation to the respiratory tract and eyes.
The use of a diffuser to date has been beneficial in maximizing the advantages of essential oils. The diffused aroma stimulates the sense of smell and affects emotions and our nervous systems. But, it is contingent on the kind of aromatherapy
The usage of a diffuser (also known as room humidifier) is now increasingly becoming a trend within the society. It is typically used with essential oils which will provide cool and refreshing aromatherapy. So, not only the air is humid, but the atmosphere of the room can be more relaxing with a soothing scent of freshness.
Behind the trend that people are becoming more fascinated by is the fact that the usage of a diffuser isn't just a way to add to room decoration. There are many advantages to a diffuser's health that you can reap. From boosting your digestive process, to assisting the body and mind be more relaxed, to improving the mood or mood for a more positive day.
Not only that, the benefits of a diffuser can also overcome various skin health problems that often are encountered. Like dry skin problems caused by the air in the room isn't sufficiently humid so that it is cold, dry, and harmful. If you suffer from this condition, using a diffuser to boost the humidity in the room could aid.